WE ARE OPEN EVERY DAY  09:00 AM – 10:00 PM

Gum care

Comprehensive Gum Care at Apple Dental Care

Protect Your Smile with Expert Gum Care

At Apple Dental Care, we offer high-quality crowns and bridges that restore your smile’s function and appearance. Whether you need to replace missing teeth or reinforce weak teeth, we provide personalized solutions that ensure durability, comfort, and a natural look.

Book Your Consultation Today!
  • Advanced Treatment Options: Offering the latest in dental care, including Laser Treatment and Flap Surgery for optimal gum health.
  • Experienced Team: Our skilled professionals are dedicated to providing personalized care for your gum health needs.
  • State-of-the-Art Technology: Utilizing modern dental technologies to ensure effective and pain-free gum treatments.

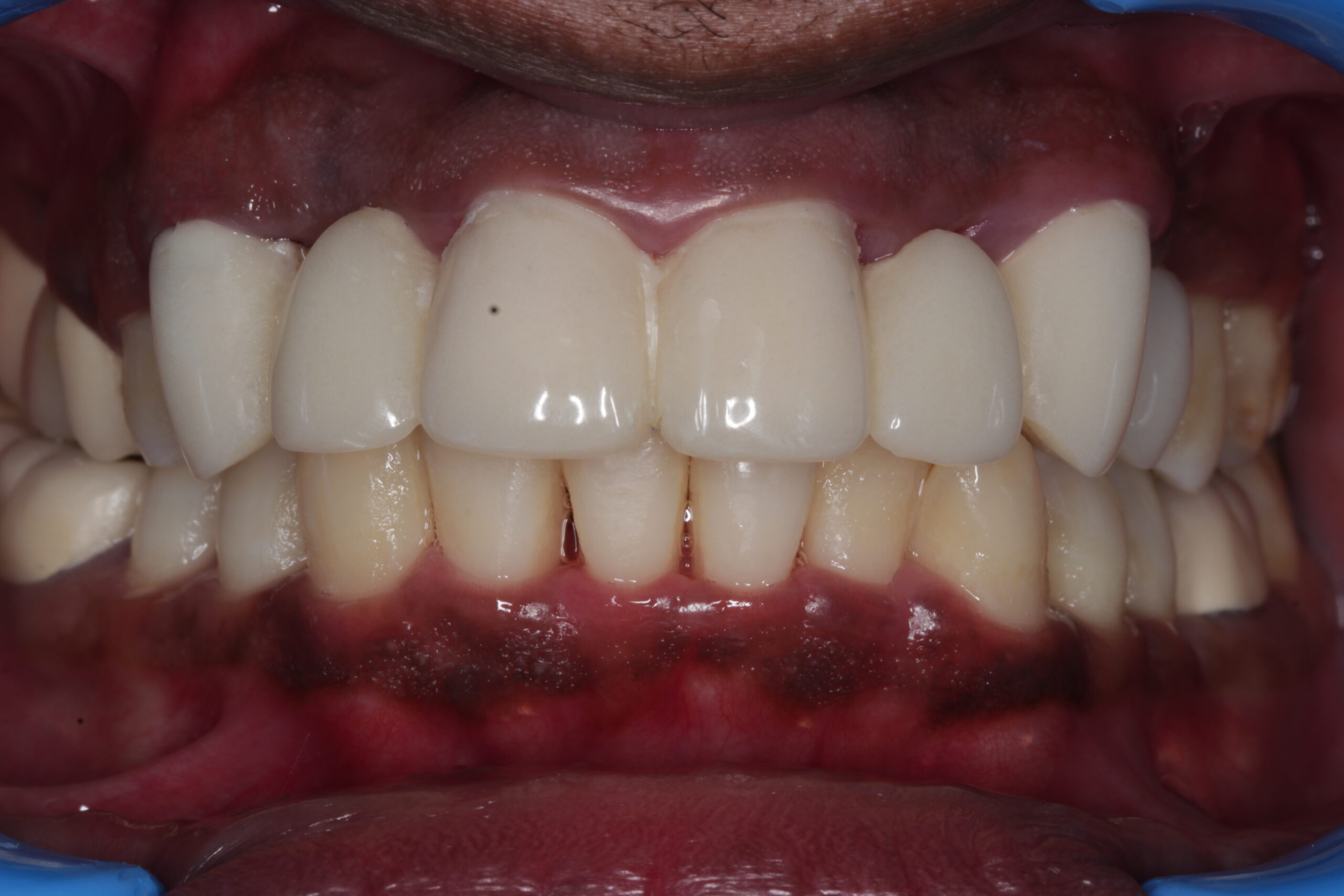
What is Gum Care?

Gum care involves maintaining the health and well-being of the gums, which are critical for supporting teeth. Healthy gums help to prevent tooth loss, gum disease, and other oral health problems. At Apple Dental Care, we offer several advanced treatments to ensure that your gums remain in excellent condition.

Key types of gum care include:

  1. Dental LASER Treatment: A minimally invasive procedure using laser technology to treat gum infections and improve gum health.
  2. Flap Surgery: A procedure for treating advanced gum disease by lifting the gum tissue to clean the tooth roots and reduce pockets of infection.
Key Reasons to Prioritize Gum Care

Regular gum care prevents conditions like gingivitis and periodontitis, which can lead to tooth loss.

Healthy gums form the foundation for your teeth, protecting them from infections and decay.

Gum diseases can cause persistent bad breath, which can be managed with proper gum care.

Healthy gums contribute to a beautiful smile, enhancing the overall look of your teeth.

Learn more about our Gum Care at Apple Dental Care

Prevention Methods & Process

Preventing gum disease begins with good oral hygiene. Brush and floss daily, and visit Apple Dental Care regularly for professional cleanings. Avoid smoking, reduce sugar intake, and stay hydrated to support healthy gums.

Early intervention is key!

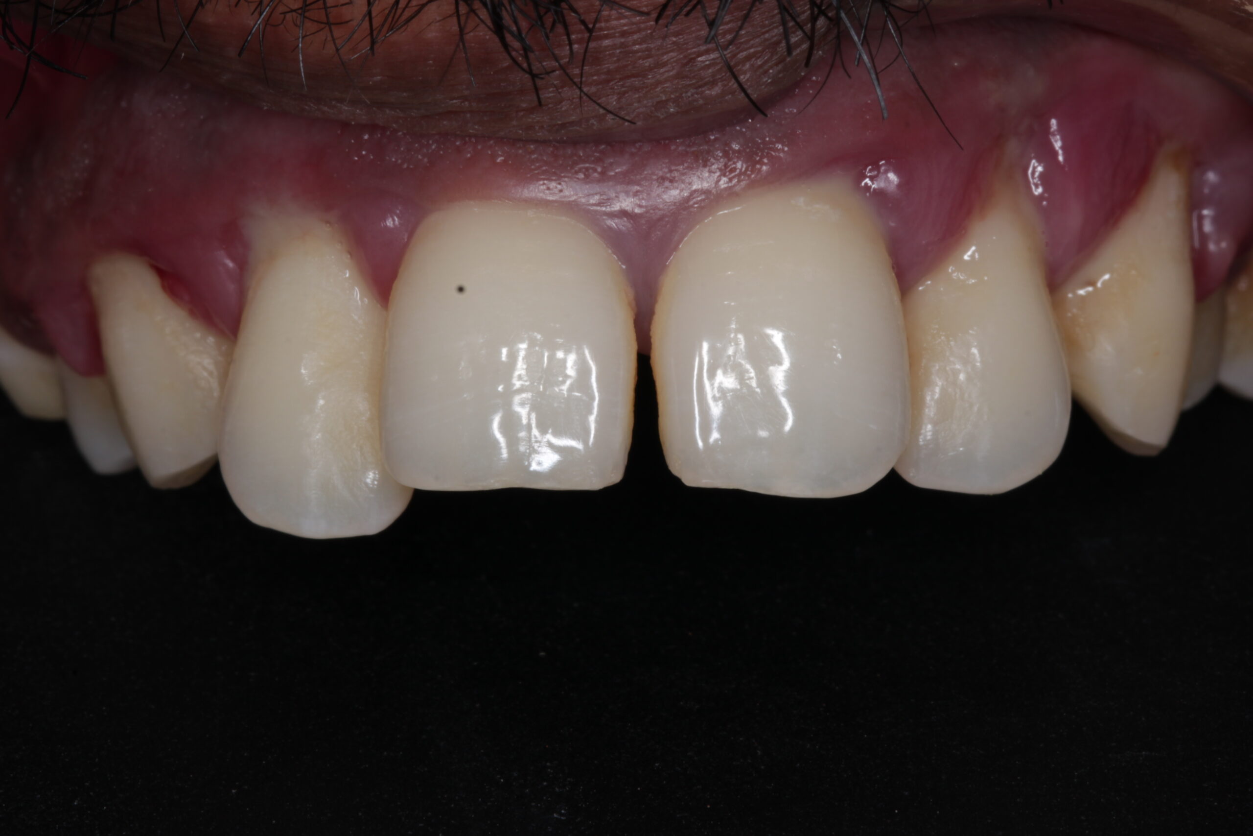
Breakdown of Symptoms

  • Bleeding Gums: Gums that bleed while brushing or flossing may be the first sign of gum disease.
  • Swollen or Tender Gums: Inflammation of the gums, often accompanied by redness or pain, indicates infection.
  • Receding Gums: Gums that pull away from the teeth can expose the tooth roots, leading to sensitivity.
  • Bad Breath: Persistent bad breath, or halitosis, can be caused by gum infection or bacteria.
  • Loose Teeth: If gums are damaged by disease, they may lose their ability to hold teeth securely, leading to looseness.

Dental LASER Treatment

Laser treatment is a modern and highly effective method for treating gum disease. It uses focused light energy to remove infected tissue, reduce inflammation, and stimulate healthy tissue growth. This technique is precise, minimizes bleeding, and speeds up recovery time. It’s ideal for treating early gum disease or for precision procedures like reshaping gums.

Process

  • Initial Consultation: Your dentist will evaluate the severity of the gum condition and determine if LASER therapy is suitable.
  • Laser Application: A specially designed dental LASER is used to target infected or damaged gum tissue, vaporizing the bacteria without harming surrounding tissue.
  • Healing Stimulation: The LASER stimulates the surrounding tissues to regenerate, accelerating the healing process.
  • Post-Treatment Care: You’ll receive advice on proper aftercare to ensure optimal healing and prevent infection.

Benefits

  • Minimized Bleeding and Discomfort: The LASER seals blood vessels, reducing bleeding during the procedure.
  • Faster Healing: As the laser promotes tissue regeneration, the recovery time is significantly reduced.
  • Precision and Accuracy: The LASER targets only the affected areas, leaving surrounding tissue undisturbed.
  • Reduced Risk of Infection: The sterilizing properties of the laser minimize the risk of infection.

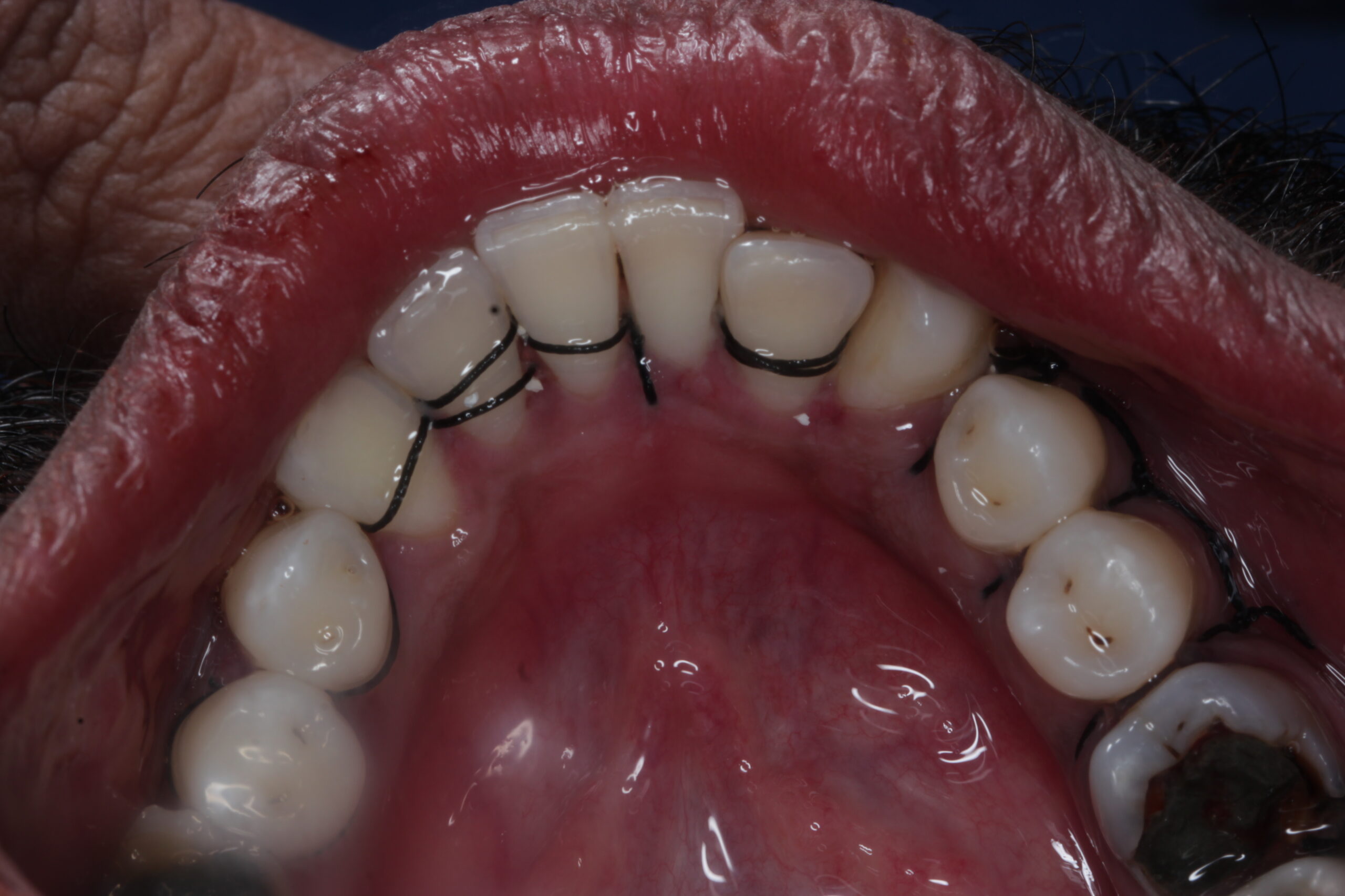
Flap Surgery

Flap surgery is a more advanced treatment used for severe gum disease. During this procedure, the gums are carefully lifted (or “flapped”) to access the underlying bone and tooth roots. The dentist will clean the area thoroughly, removing any plaque or tartar buildup, before reattaching the gums. This technique helps to reduce deep pockets around teeth, which are prone to infection.

Process

  • Gum Tissue Flap: The dentist makes an incision in the gum tissue to lift it, exposing the roots and the infected area underneath.
  • Deep Cleaning: The exposed areas are cleaned meticulously to remove plaque, tartar, and bacteria from the tooth roots.
  • Repositioning the Gums: After cleaning, the gums are placed back in position and sutured to fit snugly around the teeth.
  • Post-Surgery Recovery: Post-operative care instructions are given to prevent infection and ensure proper healing.

Benefits

  • Thorough Cleaning: Flap surgery allows deep cleaning that non-surgical methods may not reach.
  • Prevention of Further Gum Disease: By thoroughly cleaning the roots, the procedure helps to eliminate infection, preventing further gum loss.
  • Long-Term Health Benefits: After the procedure, the gums are typically healthier, and the risk of tooth loss is greatly reduced.
  • Improved Appearance: Flap surgery can restore the appearance of the gums and teeth, addressing issues such as gum recession.

When to Start?

If you notice symptoms such as swollen gums, bleeding, or bad breath, it’s crucial to start gum treatment as soon as possible. Reach out to Apple Dental Care to schedule an appointment and get the expert care you need. The sooner you address gum issues, the better your chances of preserving your natural teeth.

Benefits of Gum Care

  • Prevents gum disease and tooth loss
  • Supports overall oral health
  • Reduces inflammation and improves gum appearance
  • Enhances your smile by maintaining healthy gums
  • Minimizes the risk of infections and complications

Free Consultation

Lorem ipsum dolor sit amet, consectetur adipiscing elit. Ut elit tellus.

Don’t wait until it’s too late! Protect your gums and your smile with professional gum care