WE ARE OPEN EVERY DAY  09:00 AM – 10:00 PM

Crowns & Bridges

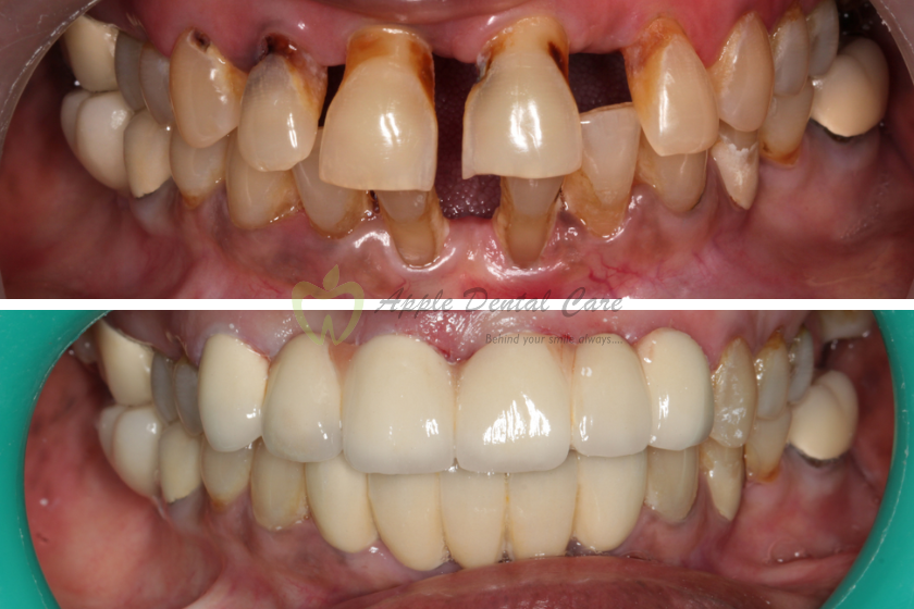
Restore Your Smile with Crowns & Bridges at Apple Dental Care.

A Stronger, Healthier Smile Starts Here

At Apple Dental Care, we offer high-quality crowns and bridges that restore your smile’s function and appearance. Whether you need to replace missing teeth or reinforce weak teeth, we provide personalized solutions that ensure durability, comfort, and a natural look.

Book Your Consultation Today!
  • Expert Care: Led by experienced professionals, Apple Dental Care provides exceptional crown and bridge treatments tailored to your needs.
  • Quality Materials: We use premium materials like Zirconia, porcelain, and more to ensure long-lasting results.
  • Painless Procedure: With advanced techniques, we make your experience as comfortable and efficient as possible.

What are Crowns & Bridges?

Crowns and bridges are prosthetic dental devices used to restore the function and appearance of your teeth. Crowns are caps placed over damaged or weakened teeth, while bridges are used to fill the gap created by missing teeth. Together, they work to maintain the structure of your mouth and enhance your smile.

  • Metal Crowns: These are durable and ideal for back teeth. They are less visible but offer strength.
  • Porcelain Fused to Metal Crowns: These offer both durability and aesthetic appeal, making them ideal for front teeth.
  • Zirconia Crowns: Known for their strength and natural appearance, zirconia crowns are a popular choice for both front and back teeth.
Key Reasons to Prioritize Crowns & Bridges

Crowns and bridges restore normal biting and chewing functions.

They help fill gaps and cover damaged teeth, improving your smile.

Crowns and bridges prevent further decay or damage to existing teeth.

With proper care, crowns and bridges can last for many years.

Learn more about our Crowns& Bridges at Apple Dental Care

Prevention Methods & Process

Maintaining oral hygiene is key to prolonging the life of your crowns and bridges. Brush and floss regularly, avoid chewing hard foods, and schedule routine dental checkups. Professional cleanings are also crucial to ensure your restorations stay intact and functional.

Breakdown of Symptoms

  • Here are five signs that may indicate the need for crowns or bridges:

    1. Severe Tooth Decay: When a tooth is extensively damaged by decay, a crown can restore its function.
    2. Cracked Teeth: A crack in a tooth may require a crown to prevent further damage.
    3. Missing Teeth: A bridge can fill the gap left by a missing tooth and restore normal bite function.
    4. Weak Teeth: Teeth that are weak from prior fillings or procedures may need crowns for added protection.
    5. Discolored Teeth: Crowns can cover severely stained or discolored teeth, improving their appearance.

Metal Crowns

Metal crowns are made from various metals, such as gold, palladium, nickel, or chromium, which are highly durable and resistant to wear.

Process

  • Preparation: The natural tooth is reduced in size to allow the metal crown to fit securely over it. This may involve removing some of the tooth structure.
  • Impression: A dental impression is taken to create a mold of the prepared tooth. This helps in designing the custom metal crown.
  • Fabrication: The crown is fabricated in a dental lab using high-quality metals such as gold, silver, or alloys. Metal crowns are typically made from a combination of metals to increase strength.
  • Fitting: Once the crown is ready, it is placed on the tooth to check for a proper fit, shape, and alignment. After final adjustments, the crown is permanently cemented into place.

Benefits

  • Durability: Metal crowns are extremely durable and can withstand heavy biting forces, making them ideal for back teeth (molars).
  • Long-lasting: These crowns can last many years, typically 15-20 years or more, with proper care.
  • Strength: Metal crowns are less likely to crack or chip under pressure, making them reliable for long-term use.
  • Cost-effective: Compared to porcelain or zirconia crowns, metal crowns are usually more affordable.

Porcelain-Fused-to-Metal (PFM) Crowns

These crowns combine a metal base with a porcelain exterior, providing both strength and aesthetics. The metal core offers durability, while the porcelain can be color-matched to the surrounding teeth.

Process

  • Tooth Reduction: The tooth is shaped to ensure proper fit for the crown. In most cases, some tooth structure must be removed for a secure fit.
  • Impression: A dental impression is taken to design a custom mold of your tooth.
  • Fabrication: The crown is created using a metal base for durability, with porcelain layered over it to give a natural tooth-like appearance.
  • Fitting: After the crown is fabricated, the dentist checks the fit and color to ensure it matches your natural teeth. Once adjustments are made, the crown is permanently bonded to the tooth.

Benefits

  • Aesthetic Appearance: The porcelain exterior provides a more natural look, making these crowns ideal for visible teeth like incisors or canines.
  • Strength and Durability: The metal base ensures that the crown is durable and resistant to breakage, while the porcelain gives it a lifelike appearance.
  • Versatile: PFM crowns are suitable for both front and back teeth, although they are commonly used for back teeth due to their strength.
  • Long-lasting: With proper care, these crowns can last between 10-15 years.

Zirconia Crowns

Zirconia is a strong ceramic material known for its excellent durability and aesthetics. It is often used in dental crowns and bridges for both front and back teeth.

Process

  • Tooth Shaping: The natural tooth is shaped to allow the zirconia crown to fit perfectly over it. This might require some reduction in the tooth structure.
  • Digital Impression: Unlike traditional impressions, zirconia crowns often use digital scanning to create a precise mold of the tooth.
  • Fabrication: Zirconia is used to create highly durable crowns. It is a type of ceramic that is known for its strength, and it can be milled from a solid block of zirconia.
  • Fitting: Once the crown is made, it is checked for fit and aesthetics. After the necessary adjustments, the zirconia crown is cemented into place.

Benefits

  • Natural Appearance: Zirconia crowns are highly translucent and mimic the look of natural teeth, making them ideal for front teeth.
  • Superior Strength: Zirconia is one of the strongest materials used in dental crowns. It is resistant to cracking and chipping, providing a long-lasting solution.
  • Biocompatibility: Zirconia is well-tolerated by the body, making it an excellent choice for patients with allergies or sensitivities to metal.
  • No Metal Base: Unlike PFM crowns, zirconia crowns do not have a metal base, which makes them aesthetically more pleasing, especially for visible teeth.
  • Durability: Zirconia crowns are incredibly durable and can last upwards of 15-20 years with proper care, making them a great investment for long-term results.

When to Start?

If you are experiencing any of the symptoms mentioned above, it’s best to address the issue as soon as possible. Delaying treatment may lead to further complications, so don’t wait! Reach out to Apple Dental Care today for an evaluation and personalized treatment plan.

Benefits of Crowns & Bridges

  • Restores Functionality: Allows you to chew, speak, and smile with ease.
  • Natural Appearance: Aesthetic crowns and bridges blend seamlessly with your natural teeth.
  • Long-Term Durability: High-quality materials ensure lasting results.
  • Improves Oral Health: Prevents adjacent teeth from shifting and maintains mouth structure.
  • Boosts Confidence: A beautiful, functional smile gives you the confidence to face the world.

Free Consultation

Lorem ipsum dolor sit amet, consectetur adipiscing elit. Ut elit tellus.

A Stronger, Healthier Smile Starts Here

At Apple Dental Care, we offer high-quality crowns and bridges that restore your smile’s function and appearance. Whether you need to replace missing teeth or reinforce weak teeth, we provide personalized solutions that ensure durability, comfort, and a natural look.

Book Your Consultation Today!

Why Choose Apple Dental Care?

  • Expert Care: Led by experienced professionals, Apple Dental Care provides exceptional crown and bridge treatments tailored to your needs.
  • Quality Materials: We use premium materials like Zirconia, porcelain, and more to ensure long-lasting results.
  • Painless Procedure: With advanced techniques, we make your experience as comfortable and efficient as possible.

What Are Crowns & Bridges?

Crowns and bridges are prosthetic dental devices used to restore the function and appearance of your teeth. Crowns are caps placed over damaged or weakened teeth, while bridges fill the gap created by missing teeth. Together, they maintain the structure of your mouth and enhance your smile.

  • Metal Crowns: Durable and ideal for back teeth, offering strength with less visibility.
  • Porcelain-Fused-to-Metal Crowns: Aesthetic + durable, perfect for front teeth.
  • Zirconia Crowns: Highly strong and natural-looking, suitable for both front and back teeth.

Prevention Methods & Process

Maintaining oral hygiene is key to prolonging the life of your crowns and bridges. Brush and floss regularly, avoid chewing hard foods, and schedule routine dental checkups. Professional cleanings help ensure your restorations stay intact and functional.

Breakdown Of Symptoms

  • Severe Tooth Decay: A crown can restore function when a tooth is extensively damaged by decay.
  • Cracked Teeth: A crack may require a crown to prevent further damage.
  • Missing Teeth: Bridges help fill gaps and restore normal bite function.
  • Weak Teeth: Teeth weakened by fillings or procedures may need crowns for strength.
  • Discolored Teeth: Crowns can cover severely stained teeth for better appearance.

Metal Crowns

Metal crowns are made from gold, palladium, nickel, chromium, or alloys known for durability and resistance to wear.

Process

  • Preparation: Tooth is reduced in size to fit the metal crown.
  • Impression: A mold is created using dental impressions.
  • Fabrication: The crown is made in a lab using high-quality metals.
  • Fitting: The crown is checked for fit and permanently cemented.

Benefits

  • Durability: Extremely strong and ideal for molars.
  • Long-lasting: Lasts 15–20 years with proper care.
  • Strength: Highly resistant to cracking or chipping.
  • Cost-effective: Usually more affordable than porcelain or zirconia.

Porcelain-Fused-to-Metal (PFM) Crowns

PFM crowns combine a durable metal base with a porcelain exterior for both strength and aesthetics.

Process

  • Tooth Reduction: Shaped to ensure crown fit.
  • Impression: Custom mold taken for perfect design.
  • Fabrication: Metal base + porcelain layering.
  • Fitting: Final adjustments and cementation.

Benefits

  • Aesthetic Appearance: Natural look ideal for front teeth.
  • Strength & Durability: Metal + porcelain gives strength and beauty.
  • Versatile: Suitable for front and back teeth.
  • Long-lasting: 10–15 years with proper care.

Zirconia Crowns

Zirconia is a premium ceramic known for exceptional durability and aesthetics — ideal for both front and back teeth.

Process

  • Tooth Shaping: Minimal reduction for perfect fit.
  • Digital Impression: 3D scanning for accuracy.
  • Fabrication: Milled from strong zirconia blocks.
  • Fitting: Final placement after adjustments.

Benefits

  • Natural Appearance: Translucent and enamel-like.
  • Superior Strength: Extremely strong and fracture-resistant.
  • Biocompatibility: Safe for metal allergies.
  • No Metal Base: Pure ceramic, highly aesthetic.
  • Durability: Lasts 15–20+ years.

Need a Crown or Bridge?Book Your Consultation Today!