WE ARE OPEN EVERY DAY  09:00 AM – 10:00 PM

Teeth Whitening

Brighten Your Smile with Professional Teeth Whitening

Brighten Your Smile Safely, Gently & Instantly

A bright smile makes a powerful first impression. At Apple Dental Care, our teeth whitening treatments are designed to lighten stains, enhance your appearance, and give you a fresher, more confident smile — all in just one sitting.

Book Your Teeth Whitening Consultation Today

 Why Choose Apple Dental Care for Teeth Whitening?

At Apple Dental Care, teeth whitening is fast, safe, and professionally supervised. We use advanced whitening technology that protects your enamel, brightens your smile by 2–4 shades, and delivers instant results in just one session. Our experienced cosmetic dentists ensure a comfortable, painless procedure with no gum irritation, while personalised shade planning gives you natural-looking brightness that lasts.

What is Teeth Whitening Treatments?

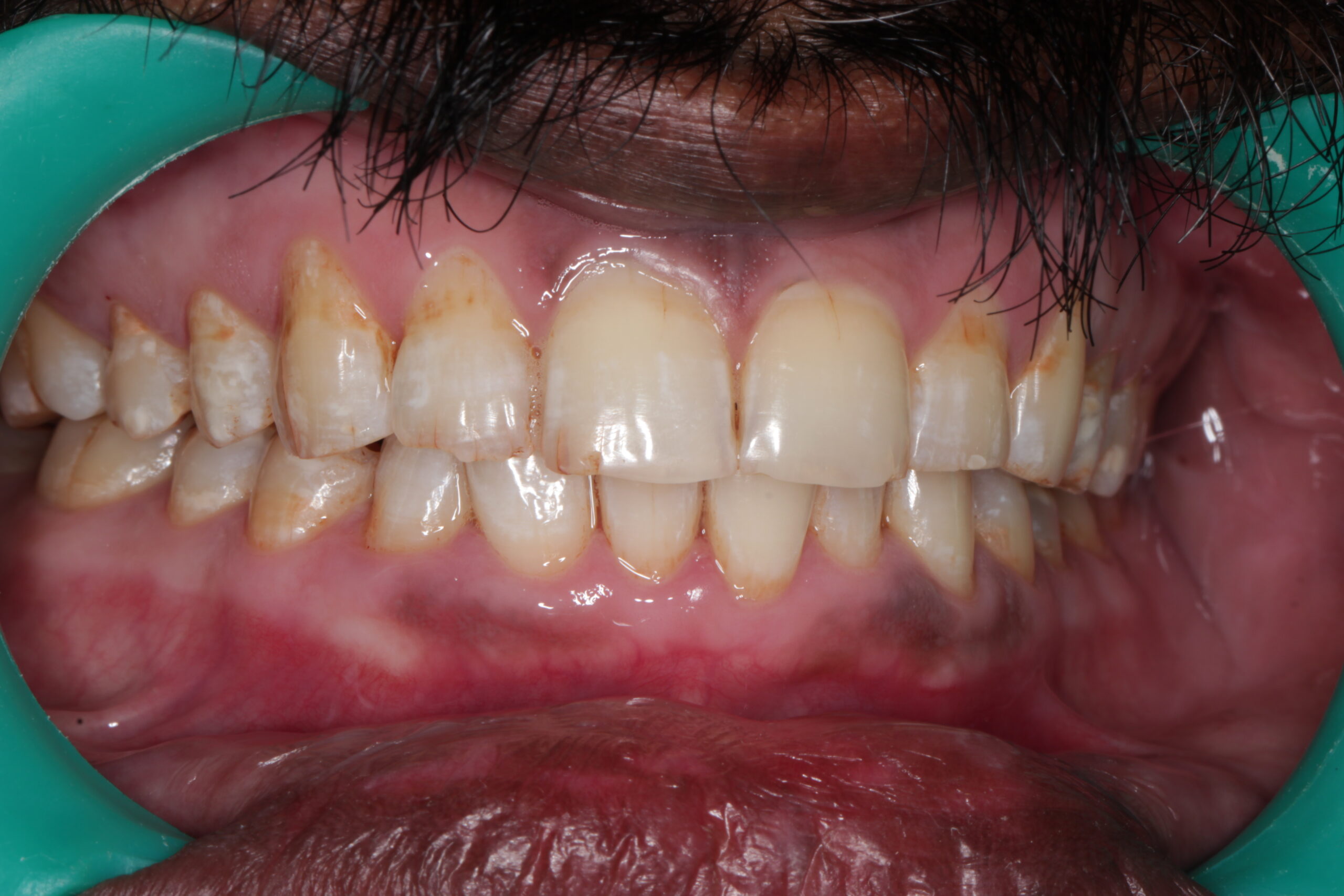
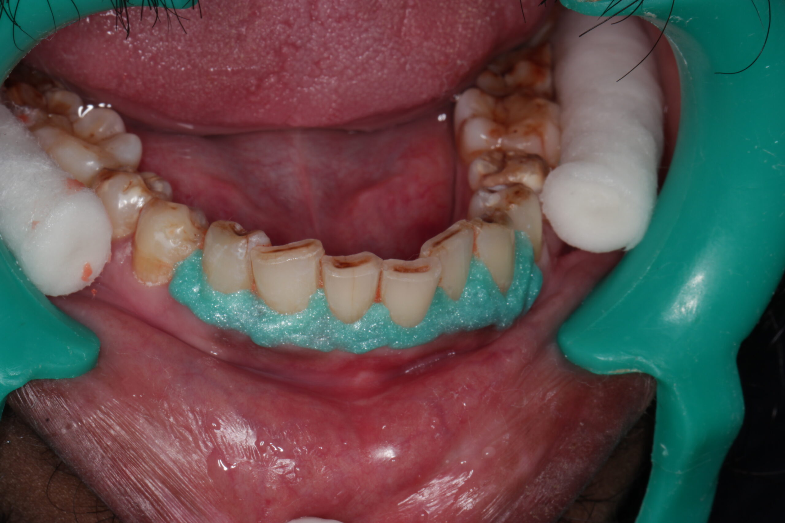
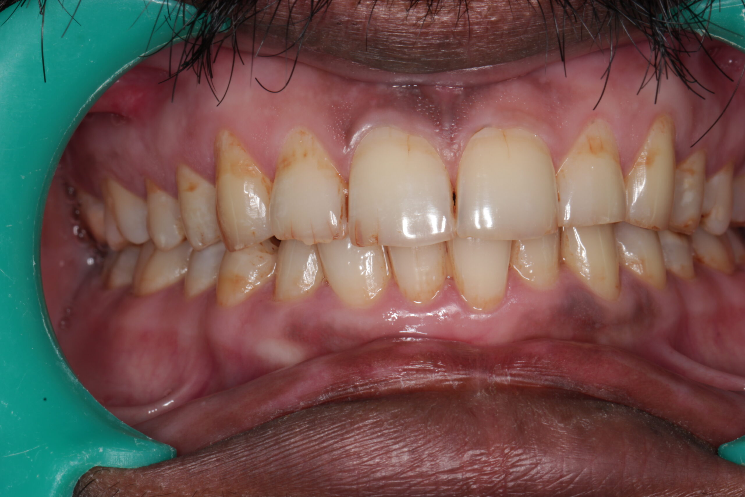
Teeth whitening (also called dental bleaching) is a safe and effective cosmetic procedure that removes stains and improves the shade of your teeth.

We use professional-grade whitening gels, combined with advanced activation systems, to deliver faster and more predictable results than home-use kits or over-the-counter products.

How Fast Will You See Results?

Instant results in a single 30–45 minute session
✨ Teeth become 2–4 shades brighter immediately
✨ Full whitening effect develops within 24–48 hours

Most patients walk out of our clinic with a visible glow the same day.

Benefits of Professional Whitening

  • Quick and dramatic results
  • Safe for enamel and overall oral health
  • Minimal or zero gum irritation
  • Even, uniform shade improvement
  • Removes stains caused by tea, coffee, smoking & aging
  • Performed under expert supervision
  • Long-lasting results with proper care

Advantages of Professional Teeth Whitening

  • Fastest and safest way to brighten your smile

  • Controlled whitening gel concentration for safety

  • Immediate cosmetic enhancement

  • Even-toned, natural-looking brightness

  • Instant confidence boost

Possible Disadvantages

  • Mild, temporary sensitivity for some patients

  • Not advised for pregnant women

  • Whitening needs maintenance depending on habits (tea/coffee/smoking)

  • Existing crowns, veneers, and fillings will not change colour

Teeth Whitening – Apple Dental Care

Brighten Your Smile Safely, Gently & Instantly

A bright smile makes a powerful first impression. At Apple Dental Care, our teeth whitening treatments are designed to lighten stains, enhance your appearance, and give you a fresher, more confident smile — all in just one sitting.

Book Your Teeth Whitening Consultation Today

Why Choose Apple Dental Care for Teeth Whitening?

At Apple Dental Care, teeth whitening is fast, safe, and professionally supervised. We use advanced whitening technology that protects your enamel, brightens your smile by 2–4 shades, and delivers instant results in just one session.

Our experienced cosmetic dentists ensure a comfortable, painless procedure with no gum irritation, while personalised shade planning gives you natural-looking brightness that lasts.

What Is Teeth Whitening?

Teeth whitening (also called dental bleaching) is a safe and effective cosmetic procedure that removes stains and improves the shade of your teeth.

We use professional-grade whitening gels combined with advanced activation systems to deliver faster, more predictable results than home-use kits or over-the-counter products.

How Fast Will You See Results?

  • Instant results in a single 30–45 minute session
  • Teeth become 2–4 shades brighter immediately
  • Full whitening effect develops within 24–48 hours

Most patients walk out of our clinic with a visible glow the same day.

Benefits of Professional Whitening

  • Quick and dramatic results
  • Safe for enamel and overall oral health
  • Minimal or zero gum irritation
  • Even, uniform shade improvement
  • Removes stains caused by tea, coffee, smoking & aging
  • Performed under expert supervision
  • Long-lasting results with proper care

Advantages of Professional Teeth Whitening

  • Fastest and safest way to brighten your smile
  • Controlled whitening gel concentration for safety
  • Immediate cosmetic enhancement
  • Even-toned, natural-looking brightness
  • Instant confidence boost

Possible Disadvantages

  • Mild, temporary sensitivity for some patients
  • Not advised for pregnant women
  • Whitening needs maintenance based on habits (tea/coffee/smoking)
  • Existing crowns, veneers, and fillings will not change colour

Looking for a Bright, Radiant Smile?Don't let stains hold you back.Book Your Appointment Now