WE ARE OPEN EVERY DAY  09:00 AM – 10:00 PM

Pediatric Dental Care

Pediatric Dental Care at Apple Dental Care

Your Child’s Smile, Our Priority!

At Apple Dental Care, we specialize in providing comprehensive pediatric dental care to ensure your child’s smile stays healthy and bright. Our team of experienced pediatric dentists in Coimbatore is dedicated to giving your little one the best dental experience in a gentle and caring environment.

Schedule an Appointment Now!
  • Experienced Pediatric Dentists: Our highly skilled pediatric specialists provide personalized care for your child.
  • Child-Friendly Environment: We make dental visits fun and stress-free for kids, so they feel comfortable and at ease.
  • Comprehensive Care: From routine check-ups to specialized treatments, we ensure every aspect of your child’s dental health is addressed.

What is Pediatric Dental Care?

Pediatric dental care focuses on the dental health of children, from infancy to adolescence. It involves preventive care, diagnosis, and treatment for a wide range of dental issues specific to kids, such as cavities, tooth alignment, and early oral hygiene practices.
Key types of pediatric dental care include:

  • Preventive Care: Routine exams, cleanings, fluoride treatments, and sealants.
  • Restorative Care: Treatments like fillings and crowns to restore damaged teeth.
  • Orthodontic Treatment: Addressing misalignment and growth issues with braces or other devices.
Key Reasons to Prioritize Pediatric Dental Care

Regular visits allow for early identification of issues like cavities, alignment problems, or gum disease.

Pediatric care instills good oral hygiene practices from an early age, ensuring lifelong dental health.

Proactive care reduces the need for complex treatments later in life.

Healthy teeth enhance self-esteem and encourage better speech and function.

Learn more about our Teeth Whitening Treatment at Apple Dental Care

Prevention Methods & Process

Preventive pediatric dental care is essential for maintaining optimal oral health. The process typically involves:

  • Regular Check-Ups: Ensuring that your child’s teeth and gums are healthy.
  • Fluoride Treatments: Strengthening the enamel to prevent cavities.
  • Dental Sealants: Protecting the back teeth from decay.
  • Education on Oral Hygiene: Teaching your child the importance of brushing and flossing.

Process:

  1. Consultation with a dental expert.
  2. Determining the best whitening option.
  3. Whitening procedure (in-office or home kit).
  4. Aftercare tips to maintain your new smile.

Symptoms That Indicate the Need for Pediatric Dental Care

  • Persistent Bad Breath: Could indicate gum disease or a buildup of plaque.
  • Tooth Sensitivity: May suggest cavities or enamel wear.
  • Frequent Cavities: Could point to poor oral hygiene or dietary issues.
  • Discolored Teeth: May be a sign of infection or early decay.
  • Crooked Teeth or Misalignment: Signals that orthodontic care may be needed.

When to Start?

It’s essential to start pediatric dental care as early as the first tooth appears, typically by age one. This ensures a good foundation for lifelong oral health.

Benefits of Pediatric Dental Care

  • Promotes healthy teeth and gums
  • Early detection and treatment of dental issues
  • Prevents future dental complications
  • Boosts your child’s self-confidence and smile
  • Fosters good oral hygiene habits for life
Pediatric Dentistry – Apple Dental Care

👶 Pediatric Dentistry at Apple Dental Care

Gentle, child-friendly dental care with advanced technology for growing smiles.

Our Pediatric Dentist ensures stress-free, painless treatments using:

  • Child-friendly environment
  • Dental lasers
  • Intraoral scanner
  • Tooth-colored children's crowns
  • Myofunctional appliances
  • Fluoride & sealant protection
  • Behaviour management for anxious kids

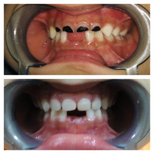
🦷 1. Pulpectomy (Kids’ Root Canal Treatment)

⭐ What Is a Pulpectomy?

A pulpectomy is the child-version of a root canal. It removes infection from an infected or badly decayed milk tooth, allowing the tooth to stay until natural shedding.

✔ Done When a Child Has:

  • Deep decay
  • Pain & swelling
  • Night-time toothache
  • Trauma to the tooth
  • Broken or sensitive milk teeth

🛡️ Pediatric Crowns After Pulpectomy

After pulpectomy, the tooth becomes weak. A crown protects it till it naturally falls out.

Types of Crowns:

🩻 Stainless Steel Crowns

  • Strongest
  • Long-lasting
  • Ideal for back teeth
  • Good for children who grind teeth

✨ Tooth-Colored Zirconia Crowns

  • Aesthetic & natural looking
  • Biocompatible
  • Stain-resistant
  • Preferred by parents

🧸 2. Space Maintainers

⭐ What Is a Space Maintainer?

A custom-made appliance used when a milk tooth is lost early to preserve space for permanent teeth.

❗ Why Is It Needed?

  • Prevents shifting of nearby teeth
  • Maintains space for adult teeth
  • Reduces future braces need
  • Ensures correct jaw growth

✔ Recommended When:

  • Milk tooth removed early
  • Trauma causing early loss
  • Decay-related extraction

📊 3. Tooth Eruption Chart

We provide a chart that shows:

  • When milk teeth erupt
  • When they fall
  • When permanent teeth appear
  • If development is early/late

🌱 4. Why Saving Milk Teeth Is Important

Milk teeth are essential for:

  • Chewing & nutrition
  • Speech development
  • Guiding permanent teeth
  • Jaw growth & alignment
  • Confidence in children

🦷 5. Myofunctional Appliances, Chin Cap & Palatal Expander (Hyrax)

⭐ Myofunctional Appliances

  • Mouth breathing
  • Open bite
  • Tongue thrusting
  • Thumb sucking
  • Improper swallowing

⭐ Chin Cap

Controls excessive lower jaw growth to prevent underbite.

⭐ Hyrax / Palatal Expander

Used to widen the upper jaw.

✔ Who Needs It?

  • Crossbite
  • Narrow arch
  • Mouth breathing
  • Crowded teeth

✔ Benefits:

  • Improves airway
  • Reduces extraction need later
  • Corrects bite early
  • Better facial development

🎨 6. Pediatric Dental Fillings

🟤 GIC Fillings

  • Fluoride releasing
  • Child-safe
  • Best for small cavities

⚪ Composite Fillings (Tooth Colored)

  • Strong & aesthetic
  • Natural finish

🛡️ 7. Preventive Dentistry

⭐ Pit & Fissure Sealants

Prevents cavities in molars (ages 6–14).

⭐ Fluoride Varnish

  • Strengthens enamel
  • Reduces sensitivity
  • Protects cavity-prone kids

🧪 8. Silver Diamine Fluoride (SDF)

⭐ What Is SDF?

A no-drill, no-injection medicine that stops cavities instantly.

⭐ When We Use It:

  • Very young children
  • Anxious/non-cooperative kids
  • Autistic children
  • Deep cavities

⭐ Benefits

  • Stops decay immediately
  • No pain
  • No drilling
  • Quick procedure

✨ Why Choose Apple Dental Care for Pediatric Dentistry?

Apple Dental Care provides expert child-focused dental care using advanced technology and gentle behaviour management. Our pedodontist uses lasers, painless injection systems, digital scanners, and minimally invasive methods to ensure every child feels relaxed and safe. We focus on early prevention, correct jaw development, and creating healthy, confident smiles for every child.

Free Consultation

Lorem ipsum dolor sit amet, consectetur adipiscing elit. Ut elit tellus.

Pediatric Dentistry – Apple Dental Care

Pediatric Dentistry at Apple Dental Care

At Apple Dental Care, our Pediatric Dentist provides gentle, painless, and child-friendly dental care using advanced technology designed specifically for young patients.

We ensure a friendly environment with:
  • Child-friendly dental setup
  • Dental lasers
  • Intraoral scanner
  • Tooth-colored crowns for kids
  • Myofunctional appliances
  • Preventive fluoride and sealant care
  • Behaviour management for anxious children

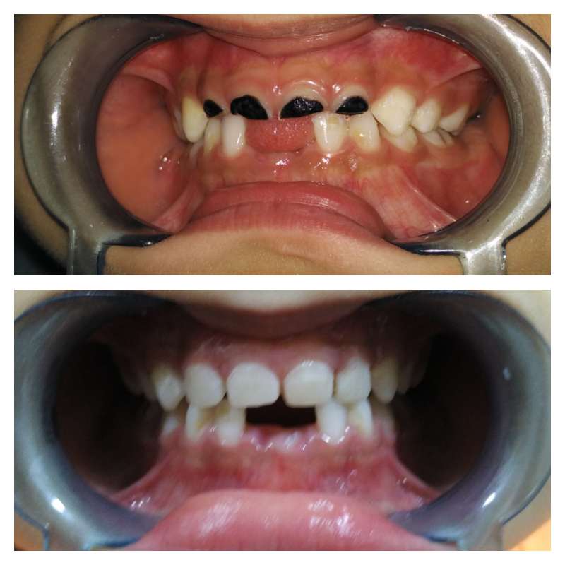
1. Pulpectomy (Kids’ Root Canal Treatment)

What Is a Pulpectomy?

A pulpectomy is the child version of a root canal treatment performed when milk teeth have deep decay or infection. It removes the infection and preserves the tooth until it naturally sheds.

Required When a Child Has:
  • Deep dental decay
  • Pain or swelling
  • Night-time toothache
  • Trauma or broken milk teeth
  • Sensitivity in milk teeth
Pediatric Crowns After Pulpectomy

After pulpectomy, the tooth becomes weak and requires a crown for protection until natural shedding.

Types of Crowns Available
Stainless Steel Crowns
  • Very strong
  • Long-lasting
  • Ideal for back teeth
  • Recommended for children who grind teeth
Tooth-Colored Zirconia Crowns
  • Highly aesthetic
  • Natural appearance
  • Biocompatible and stain-resistant
  • Suitable for both front and back teeth
  • Preferred by parents for premium look

2. Space Maintainers

What Is a Space Maintainer?

A space maintainer is a custom appliance used when a milk tooth is lost early, ensuring the space remains open for the developing permanent tooth.

Why Is It Needed?
  • Prevents shifting of nearby teeth
  • Maintains space for adult teeth
  • Prevents crowding
  • Reduces the need for braces later
  • Ensures proper jaw development
Recommended When:
  • Milk tooth removed due to decay
  • Accidental early tooth loss
  • Extraction due to infection

3. Tooth Eruption Chart

Monitoring Your Child’s Tooth Development

We provide parents with a complete eruption chart to explain:

  • When milk teeth erupt
  • When they shed
  • When permanent teeth appear
  • Whether development is early, normal, or delayed

4. Importance of Saving Milk Teeth

Why Milk Teeth Matter

Milk teeth play an important role in a child's oral and facial development.

Milk Teeth Help In:
  • Proper chewing and nutrition
  • Speech development
  • Guiding permanent teeth
  • Jaw growth and alignment
  • Building a child’s confidence

Untreated cavities in milk teeth can lead to pain, swelling, infection, and misaligned permanent teeth.

5. Myofunctional Appliances, Chin Cap & Palatal Expander (Hyrax)

Myofunctional Appliances

Used for children with harmful oral habits or muscle imbalance affecting dental or jaw development.

Corrects:
  • Mouth breathing
  • Open bite
  • Tongue thrusting
  • Thumb sucking
  • Improper swallowing patterns
Chin Cap

Used to control excessive lower jaw growth and helps prevent underbite.

Hyrax / Palatal Expander

A device designed to widen the upper jaw in growing children.

Recommended For:
  • Crossbite
  • Narrow dental arch
  • Mouth breathing
  • Crowded teeth
Benefits
  • Improved airway
  • Lower chance of future extractions
  • Early bite correction
  • Better facial development

6. Pediatric Dental Fillings

GIC Fillings
  • Fluoride releasing
  • Best for small cavities
  • Very child-friendly
Composite (Tooth-Colored) Fillings
  • Strong and aesthetic
  • Ideal for visible teeth
  • Natural finish

7. Preventive Dentistry for Children

Pit & Fissure Sealants

A thin protective coating applied on molars to prevent decay. Ideal for children aged 6–14.

Fluoride Varnish
  • Strengthens enamel
  • Reduces sensitivity
  • Provides high protection for cavity-prone children

8. Silver Diamine Fluoride (SDF)

What is SDF?

A liquid medicine that stops cavities instantly without drilling or injections.

When We Use It:
  • Very young children
  • Anxious or uncooperative kids
  • Children with special needs
  • Deep cavities requiring temporary arrest
Benefits
  • Stops decay immediately
  • No injections
  • No drilling
  • Pain-free
  • Quick application

Why Choose Apple Dental Care for Pediatric Dentistry?

Apple Dental Care provides compassionate, child-focused dental care backed by experienced pediatric dentists and advanced technology. We use lasers, painless injection systems, digital scanners, aesthetic crowns, preventive care techniques, and behaviour management methods to ensure every child feels safe and comfortable.

With a warm environment, gentle handling, and customised treatment plans, we make dental visits positive and educational for children and parents. Our goal is to support healthy teeth, proper jaw development, and confident smiles throughout childhood.

Still unsure? Reach out to Apple Dental Care for guidance and schedule an appointment today!